MEGALOBLASTIC ANEMIA
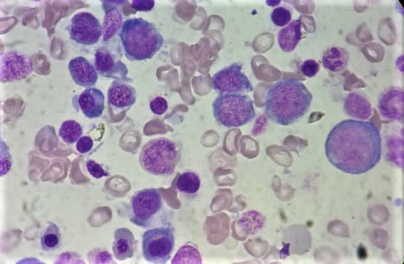
Megaloblastic anaemia is caused by deficiency of folate or cobalamin (Vit B12). The peripheral blood is sometimes characterised by pancytopenia […]
Megaloblastic anaemia is caused by deficiency of folate or cobalamin (Vit B12). The peripheral blood is sometimes characterised by pancytopenia […]
Heart Attack PathologyA heart attack, also known as myocardial infarction (MI), occurs when the blood flow to the heart is
Welcome to WordPress. This is your first post. Edit or delete it, then start writing!